Cáncer de vesícula y vías biliares: Una entidad rara pero letal
Una breve introducción
La
vesícula biliar es un pequeño órgano en forma de pera que se conecta con el
hígado por medio de pequeños conductos llamados vías biliares. Este saco
contiene una sustancia llamada bilis, producida por el hígado, la cual nos ayuda
principalmente a digerir nuestros alimentos (por medio de lo que se conoce como
sales biliares) y eliminar ciertos productos de desecho.
Las vías biliares
finalizan su trayecto desembocando en el intestino delgado por medio de un
músculo en forma de anillo llamado esfínter de Oddi, localizado apenas a unos
centímetros bajo el estómago.
Ahora que conocemos un poco más de la vesícula,
podemos enfocarnos en el cáncer. Recordemos que el cáncer es el crecimiento
anormal de las células que nos forman, siendo que estas se multiplican sin
control (formando tumores o crecimientos), y tienen la capacidad de expandirse a
otras partes del cuerpo.
Teniendo esta información, podemos entender entonces
que el cáncer de vesícula y/o de las vías biliares, es un descontrol anómalo y
maligno de las células que forman a este órgano.
Es una entidad rara, y se clasifica de la siguiente manera:
¿Qué factores de riesgo existen
para la enfermedad?
Esta enfermedad aparece con mayor frecuencia en mujeres,
gente de edad avanzada, y en personas de raza blanca. Sin embargo, los factores
de riesgo que más peso tienen son los siguientes (2,3):
- Colelitiasis
- Presencia de “piedras” (cálculos) en la vesícula biliar. Puede causar complicaciones como inflamación de la vesícula (colecistitis), obstrucción de las vías biliares (coledocolitiasis), e incluso infección (1,2,3).
- Vesícula “en porcelana”
- Refiere a una vesícula cuyas paredes se calcificaron Presencia de pólipos (crecimiento que sobresale de la superficie de la pared interior de la vesícula biliar, no forzosamente significa cáncer) (2,3)
![]() |
| Imagen 4.-Radiografía simple de abdomen de un paciente con vesícula de porcelana que revela una lesión calcificada en el cuadrante superior derecho (flecha). |
- Obesidad
- Se ha comprobado que la obesidad está asociada a una mayor incidencia de cánceres, entre los que se incluye este. (2,3)
¿Cómo se presenta la enfermedad?
Es probable que para este punto te preguntes:
¿y cómo luce esta enfermedad? La respuesta puede lucir un tanto simple.
Generalmente, en etapas tempranas, no suele causar síntomas en los pacientes.
Cuando se trata de etapas avanzadas, sin embargo, sí causa problemas. Entre los
datos que podemos encontrar están:
- Dolor abdominal, especialmente en hipocondrio derecho (esquina superior derecha del abdomen)
- Pérdida de peso
- Náuseas o vómitos
- Ictericia
Estos síntomas se aplican tanto al colangiocarcinoma extrahepático
(nombre del tumor más frecuente de este órgano) como al intrahepático (menos
frecuente).
Algunos métodos para diagnosticar
El diagnóstico en las etapas
iniciales habitualmente se realiza de manera incidentalmente, es decir, por mera
suerte o sin buscarlo. Esto hace que, en la mayoría de las ocasiones, cuando se
realiza el diagnóstico, sea en etapas más avanzadas (y a su vez, más difíciles
de tratar). De ahí la importancia de conocer los métodos diagnósticos.
Las
pruebas diagnósticas a realizar se basan en la ecografía de abdomen, tomografía
computadorizada (TC) o resonancia magnética (RM) de abdomen, TC de tórax para
conocer que tan extensa es la enfermedad, y marcadores tumorales (sustancias
que pueden detectarse en sangre, orina, heces u otros tejidos del organismo y
cuya presencia en gran cantidad puede indicar la existencia de uno o más tipos
de cáncer) se utilizarán para monitorizar la enfermedad el antígeno
carcinoembrionario (CEA) y el antígeno carbohidratado (CA).
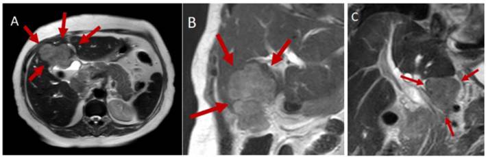
![]() |
| Imagen 5.- Resonancia magnética que muestra gran masa en la vesícula biliar con infiltración al hígado (A y B) y conglomerado ganglionar celíaco (C). |
¿Tratamientos?
El
único tratamiento curativo que existe es el quirúrgico, y su viabilidad
dependerá de qué tan severa sea la lesión. El procedimiento se llama
colecistectomía y a este se le suele agregar la resección de determinados
segmentos del hígado y ganglios linfáticos cercanos.
Dependiendo de la
localización y que tanto se haya expandido el cáncer, se puede considerar
retirar segmentos más grandes del hígado e incluso parte del páncreas y duodeno.
Debido al mal pronóstico de estos tumores y a la alta tasa de recurrencia tras
la realización de una intervención quirúrgica con intención curativa, está
indicado el tratamiento adyuvante con quimioterapia. En la enfermedad localmente
avanzada irresecable o metastásica (es decir, que no se puede operar o que ya avanzó demasiado), el tratamiento de elección es la quimioterapia (1).
Pronóstico
La probabilidad de sobrevivir a largo plazo está principalmente determinada por la etapa en la que se presenta el tumor. Cuando el cáncer está en etapas avanzadas y hay síntomas como bultos que se pueden palpar, obstrucción en la salida del estómago, pérdida de peso y ictericia, eso indica un pronóstico peor.
Las personas que pueden someterse a una resección tienen la mejor oportunidad de sobrevivir a largo plazo (3).
Conclusión
Aunque el cáncer de vesícula y vías biliares es raro, es una enfermedad de la que debemos ser conscientes seamos médicos o pacientes, especialmente por el mal pronóstico que suele tener al momento de su diagnóstico.
Con esta información, te invitamos a que reflexiones sobre el tema y compartas este blog con los demás ¡Deja un comentario y apoya el contenido!
Bibliografía
1. Cigarral B, Fonseca E, Tocino RV, Barrios B, Casado D, Claros J,
et al. Protocolo terapéutico del cáncer de vía biliar. Medicine [Internet].
2021;13(24):1357–9. Disponible en: http://dx.doi.org/10.1016/j.med.2021.01.006
2. Gallardo E. J, Solervicens R. Factores de riesgo y prevención en cáncer de
vesícula. Rev médica Clín Las Condes [Internet]. 2024;35(2):117–24. Disponible
en: http://dx.doi.org/10.1016/j.rmclc.2024.03.002
3. Waller GC, Sarpel U.
Gallbladder cancer. Surg Clin North Am [Internet]. 2024; Disponible en:
http://dx.doi.org/10.1016/j.suc.2024.03.006
.png)





Muy interesante!!!
ResponderEliminarInformación que debemos conocer. Últimamente he sabido de mucha gente con piedras en la vesícula.
ResponderEliminarEs bueno saber sintomas, y opciones de cura.
ResponderEliminarEs una información muy valiosa.
ResponderEliminarmuy interesante información, muy organizado y con buenas imágenes
ResponderEliminarexcelente info, muchas gracias!
ResponderEliminarExcelente información gracias
ResponderEliminarHay que estar atentos a cualquier síntoma y hacerse chequeos , gracias por la información .
ResponderEliminarMe encantó el blog, muy interesante y atractivo a la vista, sigue así!!
ResponderEliminarGran info , muchas gracias
ResponderEliminarMuy importante siempre estar al pendiente de cualquier síntoma y checarse, gracias por la información.
ResponderEliminarMuy interesante artículo, ojalá se difunda más a la sociedad
ResponderEliminarMuy interesante artículo, ojalá y se difunda más a a sociedad
ResponderEliminar